Skip to content

Nos réalisations

Découvrez les transformations de nos patients

Extractions de toutes les dents et réalisation de deux prothèses implanto-portées fixes.

AVANT

AVANT

APRÈS

APRÈS

Réhabilitation fonctionnelle et esthétique du sourire par le biais de restaurations implanto-portées. Lorsque bien positionnées, les dents redonnent avantageusement le support aux tissus du visage et redéfinissent les traits. Le choix de la forme et de la couleur des dents est issue d’une étroite collaboration entre le patient et le prosthodontiste afin d’optimiser le résultat.

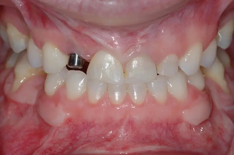
Plusieurs types de restaurations

AVANT

AVANT

APRÈS

APRÈS

Le mariage entre la couronne sur implant, les couronnes sur dents naturelles et la facettes en matériau esthétique peut donner d’excellents résultats lorsque bien planifié et orchestré. L’interaction multidisciplinaire entre l’orthodontiste, le chirurgien maxillo-facial, le parodontiste et le prosthodontiste permet de grandes choses comme dans le présent cas.

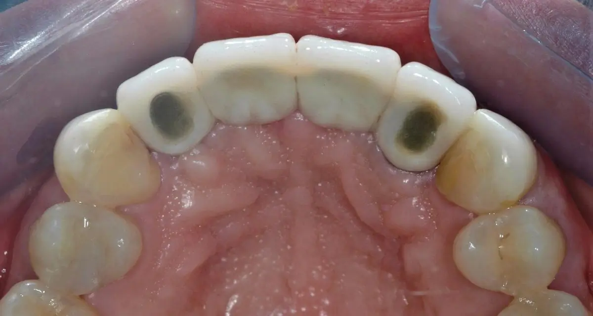
Pont sur implants

Pont sur implants
Pont sur implants
Pont sur implants

Le pont sur implants est une option durable et fixe pour le remplacement de plusieurs dents manquantes et imite très bien l’apparence des dents naturelles. Deux accès de vis, inapparents au sourire, se situent derrière la restauration et nous permettent de retirer le pont, au besoin.  Notre patiente peut désormais oublier sa prothèse amovible et retrouver la sensation de sa voûte palatine.

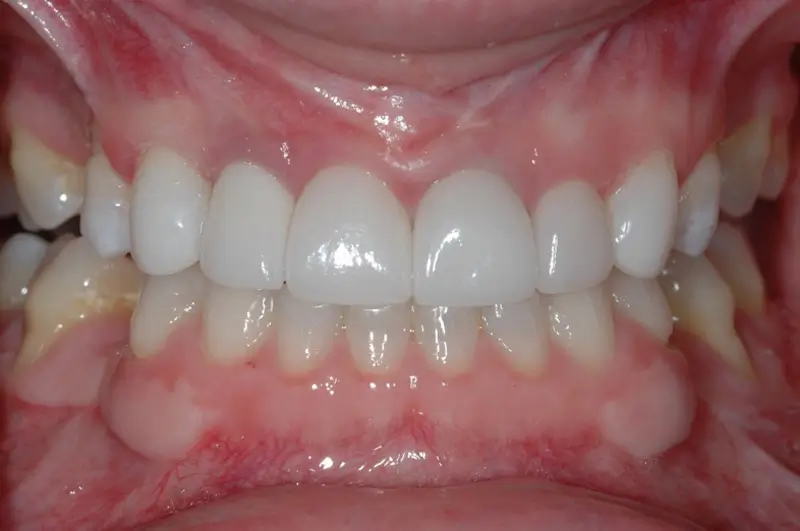
Restauration en porcelaine

AVANT

AVANT

APRÈS

APRÈS

Il est possible que les dents ayant subi des traitements dentaires perdent leur éclat et affichent un teint plutôt grisâtre. Les restaurations en porcelaine peuvent alors améliorer l’apparence du sourire. C’est le cas ici des incisives centrales de notre patiente.